冬天急性腦中風好發期 為恭團隊緊急搶救抽取12公分血栓救人
文章撰寫:為恭醫院神經內科朱清華醫師、神經內科卓筱善醫師;圖片來源:pixaby
|
刊載於2021/12/02 聯合新聞網 |
近來天氣冷颼颼,急性腦中風好發期,一名83歲吳姓老婦日前中午用餐後突然倒下,本院啟動急性腦中風治療機制,先注射血栓溶解劑,再與雙和醫院團隊共同合作抽取腦動脈12公分的血栓,歷經3小時的手術老婦清醒後,目前持續復健進步中。
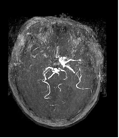
吳老婦人有冠心症、心房顫動、高血壓、高血脂病史,平日有服用抗血小板劑保栓通,她日前中午用餐後突然倒下,出現意識模糊、口齒不清、眼睛往右看,左側手腳都無法動彈,為恭急診室收治,神經內科主任朱清華、醫師卓筱善評估後,診斷是腦部大血管阻塞,電腦斷層血管攝影呈現右側頸總動脈大血管都有血栓,無血流通過。
醫師在老婦人發病2小時內注射血栓溶解劑治療,為恭、雙和醫療團隊進行腦動脈取栓治療抽吸術,抽取12公分的血栓,手術時間約3小時,由於腦血栓清除迅速,病人清醒後能講話,眼球轉動靈活,左側癱瘓的手腳目前在復健進步中。
冬天氣溫驟降,溫差過大導致血管收縮,引發血壓的變化,尤其是腦血管、心血管疾病高危險患者,有高血壓、糖尿病、高血脂的三高年長的長輩,及肥胖、缺乏運動等族群,一定要做好保暖措施,以免造成血壓升高,誘發中風及心臟病之急性發作。
![]() |
83歲吳姓老婦人日前中風,電腦斷層血管攝影顯示腦部大血管阻塞,為恭及雙和醫療團隊腦動脈取栓治療抽吸術,抽取12公分的血栓。 |
預防中風『333』守則 降低腦中風發作風險
依據衛生福利部108年國人死因統計顯示,腦血管疾病為國人十大死因第4位,死亡人數超過1.2萬人,中風對國人健康衝擊甚鉅,且中風造成失能的後遺症,是我國成人殘障的主因之一。腦中風的危險因子中除了年齡、性別、種族與家族史是無法改變外,九成的腦中風與高血壓、運動量不足、血脂異常、糖尿病及抽菸等危險因子有關。然而大部分的中風可以藉由健康生活型態及積極控制三高來預防,只要掌握以下『333』健康守則,就能夠減少腦中風急性發作的風險:
一、控『3』高:若發現有高血壓、高血糖、高血脂問題,應遵照醫師指示用藥及定期回診追蹤,積極做好血壓、血糖、膽固醇的控制,絕對不可以任意停藥或增減用藥的劑量。
二、記『3』不:記住不吃多鹽多油食物、不吸菸、不過度飲酒,中風與生活習慣息息相關,切勿輕忽。民眾如有任何戒菸方面問題,可撥打本院戒菸諮詢專線037-676811分機88666來尋求協助。
三、保『3』要:保持定期測量血壓、適度規律運動(1天至少運動30分鐘)及善加利用國民健康署提供40歲以上國人成人預防保健服務,不僅能讓人遠離腦中風的威脅,也是杜絕其他慢性病的通則。
中風判斷口訣「微笑,舉手,說你好,時間」,大血管中風需加上動眼測試,並把握血栓溶解劑3小時,腦動脈取栓時間含前循環8小時,後循環24小時的黃金搶救期,如果有中風徵兆發生,記住時間點並盡快送醫,會有較好的恢復機會。
文章來源:財團法人為恭紀念醫院
